3D스캐너
3D스캐너를 이용하여 개인의 치아상태를
재현하여 데이터를 채득합니다.
정교하고 정확한 맞춤치아교정

오라픽스는 치아 교정의 모든 치료과정을 3D시뮬레이션화하여 개인에게 맞춤 교정이 가능한 프로그램입니다. 원터치 방식의 One Body JIG는 브라켓 바디 전체를 잡아주는 디자인으로 오차율 20마이크로미터 미만의 스캐너와 정밀 셋업 프로그램인 3Txer을 통해 3차원 셋업이 가능하며 3D프린터로 간접 부착 방식의 지그(JIG)를 제작해 정교하면서도 정밀한 교정이 가능합니다.

3D스캐너를 이용하여 개인의 치아상태를
재현하여 데이터를 채득합니다.

재현된 치아의 정보를 파악하고 치아 상태의
진단 및 치료계획을 수립합니다.

3Txer프로그램을 이용하여 가상교정을 진행하고
장치 부착에 따른 치아이동을 예측합니다.

JIG(지그)는 3D프로그램을 통해 치아교정 장치를 부착할 위치를 선정하고 이를 개인의 치아에 똑같이 재현할 수 있도록
도와주는 시스템입니다. 또한, JIG는 치아교정장치 부착위치를 기억하고 있어 장치가 떨어져도 다시 같은 위치에
부착할 수 있습니다.

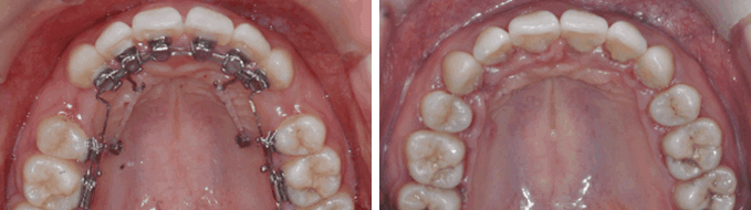
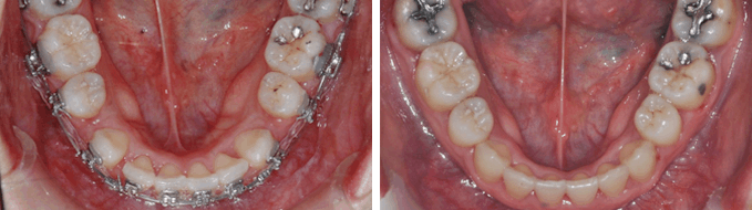
오라픽스 시스템은 일반적인 교정방법인 순측교정부터 설측교정, 콤비교정까지 모두 적용이 가능합니다.
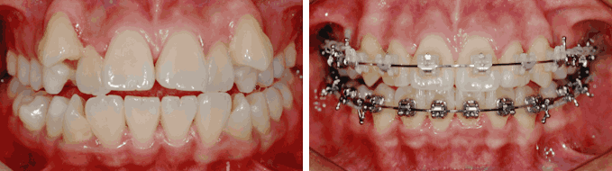
덧니 순측 오라픽스 교정




돌출입 콤비(설측+순측) 오라픽스 교정




진단부터 다른 ‘청담뷰 디지털 교정’

다각도에서 200만 화소의 9개의 카메라가 0.5초 이내로
동시 촬영해 교정 진단을 위한 3D 안면 아바타 완성

얼굴뼈와 턱관절의 형태와 치아모양,
교합 상태 등을 입체적으로 파악하고 진단

3차원 첨단 구강 스캐너를 통해 치아와 잇몸을
정밀하게 재현하고 분석
레이페이스, 3D 시티, 구강스캐너로 촬영해 고품질 3차원 데이터로 재구성한 3D시뮬레이션으로
치료 전후 분석 및 안면 변화의 예측이 가능해 환자의 얼굴에 맞는 조화로운 치료 계획을 수립할 수 있습니다.

AI 정밀 교정진단은 물론 양악수술용 스플린트와
교정장치까지 정밀 제작이 가능한 콘빔CT 플랫폼

3D 프로그램을 통해 정확히 위치시킨 치아교정장치가
JIG를 통해 환자 치아에 똑같이 재현하는 디지털 교정방법

자주 내원하지 않고 아무도 모르게 교정치료를
받고 싶은 분들을 위한 디지털 투명교정

환자가 가지고 있는 본연의 교합과 해부학적인 특성을
고려하는 급속 교정치료방법
당신을 위한 새로운 치과 경험

20년을 한 곳에서.
무사고. 의료사고ZERO
청담뷰치과는 20년을 한 곳에서 묵묵히 진료하고
있습니다. 개원 이후 단 한 건의 의료사고 없이 환자의
안전을 최우선으로 하는 진료철학으로 단 하나의
오차도 허용하지 않는 섬세함으로 무사고 경력을
자신합니다. 지금까지 쌓아온 경험과 전문성을
바탕으로 신뢰할 수 있는 의료서비스를 제공하도록
더욱 노력하겠습니다.