앞니 임플란트가
필요한 경우
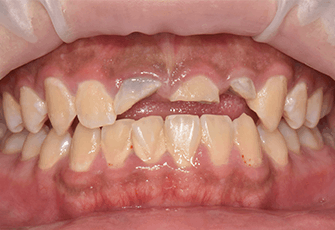
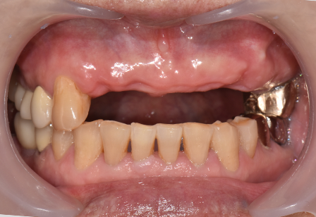
눈에 잘 띄는 부위의 치아를 상실한 경우
앞니 또는 치아가 하나도 없는 경우
외상 또는 사고로 인해 앞니를 상실한 경우
틀니의 불편함에서 벗어나고 싶은 경우
흔들림 없는 튼튼한 임플란트

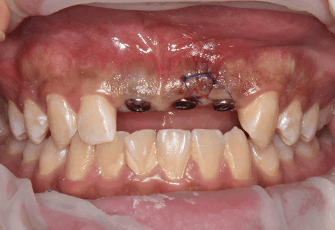
뼈이식 임플란트는 임플란트 식립 부위의 잇몸뼈가 부족할 경우 잇몸뼈를 이식하여 건강하고 튼튼한 임플란트 치료를 위한
기반을 만드는 시술이며 임플란트는 의료진의 노하우 및 기술력이 필요한 고난도 시술입니다.
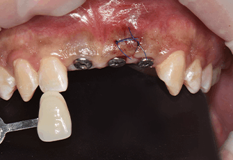
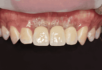
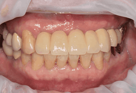
청담뷰치과는 단순 임플란트 식립에서 그치는 것이 아닌 기능적인 요소와 더불어 치아 모양, 크기, 색상 등 전체적인 조화까지
고려하여 자연스러운 앞니를 재현할 수 있도록 도와드립니다.
뛰어난
심미성
빠른 일상생활
회복
저작력
회복
반영구적
수명
불편함
최소화
눈에 잘 띄는 부위의 치아를 상실한 경우
앞니 또는 치아가 하나도 없는 경우
외상 또는 사고로 인해 앞니를 상실한 경우
틀니의 불편함에서 벗어나고 싶은 경우












진단부터 다른 ‘청담뷰 AI DIGITAL’ 시스템

RAY FACE로 촬영한 3차원 데이터를 통해 얼굴, 치아 등
통합적으로 기능과 심미성을 고려해 정밀 진단합니다.

상실된 치아의 X-RAY 및 3D CT촬영을
통해 잇몸뼈의 상태를 파악합니다.

3D CT촬영을 통해 얻어진 환자의 정보를 바탕으로
컴퓨터상에서 모의수술을 시행합니다.

환자에게 가장 적합한 모의수술 결과를 이용해 환자 개인에 맞는
임플란트 수술 정밀유도장치를 제작합니다.

20년을 한 곳에서.
무사고. 의료사고ZERO
청담뷰치과는 20년을 한 곳에서 묵묵히 진료하고
있습니다. 개원 이후 단 한 건의 의료사고 없이 환자의
안전을 최우선으로 하는 진료철학으로 단 하나의
오차도 허용하지 않는 섬세함으로 무사고 경력을
자신합니다. 지금까지 쌓아온 경험과 전문성을
바탕으로 신뢰할 수 있는 의료서비스를 제공하도록
더욱 노력하겠습니다.