VIEW 디지털 기공 연구소
청담뷰치과는 전세계적으로 인정받은 세라믹 재료와
기공장비를 갖춘 디지털 기공실과 세라미스트가 상주해 수준
높은 세라믹 보철물을 제작 합니다.
100%에 도전하는 진심의 치아성형
자연치아 보존과 심미성을 동시에!

무리한 앞니성형은 치료기간은 짧아질 수 있지만 치아 수명에 영향을 줄 수 있습니다. 교정을 하지 않고 앞니성형을 진행할 경우 치아삭제를 최소화할 수 없고 일정기간 후 치아 내부 변색으로 심미적인 문제 등 치아 손상을 방지하기가 힘들어집니다.
치아삭제를
최소화하며 신경치료를
피할 수 있습니다.
문제가 있는
치아만 선택적으로
치료해 자연치아를
최대한 보존할 수
있습니다.
앞니이동을 통해
심미적인
보철이 가능합니다.

청담뷰치과는 섬세한 디자인 설계와 미세하고 균일한 치아삭제를 통해 건강하고 아름다운 치아를 완성합니다. 개인의 구강상태부터 안모, 잇몸, 입술, 피부톤 치아의 심미적인 부분부터 저작기능까지 종합적으로 고려하여 정교하게 디자인하며
의료진의 임상경험과 노하우를 바탕으로 각 치아위치에 맞는 이상적인 비율에 따라 법랑질 부분을 0.1mm~0.2mm정도의 최소삭제를 통해 자연치아의 손상을 최소화하면서도 치아의 형태와 컬러를 동시에 개선해 드립니다. 예쁜 치아 모양은 보존하고 보완이 필요한 부분만 개선하여 자연스럽고 아름다운 치아모양을 만들어 드립니다.

올세라믹은 치아의 치료 부위가 넓어 라미네이트가 어려운 경우나 토끼이빨의 모양처럼 앞니가 크고 앞으로 튀어 나온 치아를 단기간에 정상적인 모양으로 치료하고 싶을 때 치아와 유사한 색상의 세라믹으로 치아를 감싸는 시술입니다.
울세라믹은 기존 보철물과는 달리 치료 후 시간이 지나도 잇몸의 변색이 없으며 투명도가 높고 광택이 있어 뛰어난 심미성을 자랑합니다.


1. 앞니 사이가 살짝 벌어진 경우
2. 변색된 치아가 미백으로 개선이 힘든 경우
3. 앞니 모양과 길이를
맞추고 싶은 경우
1. 삐뚤어진 치아를 단기간에 개선하고 싶은 경우
2. 치아의 마모나 깨진 정도가 심한 경우
3.치아 삭제량이 많거나 충치가 심해
신경치료가 꼭 필요한 경우
1.외부 충격으로 인해 파절 또는 탈락될 수 있음
2. 수명 주기에 따라 교체 필요

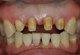
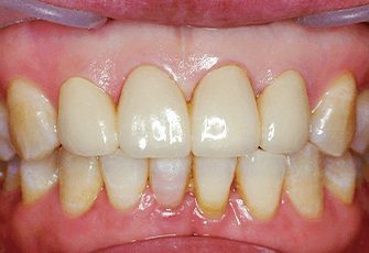
앞니사이 공간을 매우기위해 너무 커진 비심미적인 보철물

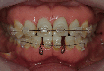
윗니는 임시보철물을 정상적인 크기로 만든 후 공간을 줄이는 앞니부분교정 시행

아랫니는 비심미적인 보철물만 제거하고 공간을 닫기위해 앞니부분교정 시행

아랫니 부분교정

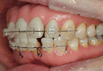
윗니 부분교정 완료

아랫니 부분교정 완료 후 윗니 인상체득

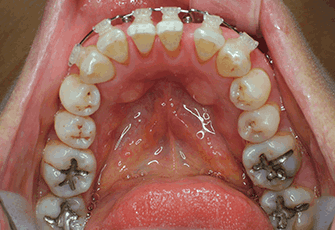
윗니 쉐이드 선택

교정 후 앞니성형 완료
청담뷰치과는 자체기공 연구소 운영으로 정밀한 보철물을 제작합니다.

청담뷰치과는 전세계적으로 인정받은 세라믹 재료와
기공장비를 갖춘 디지털 기공실과 세라미스트가 상주해 수준
높은 세라믹 보철물을 제작 합니다.
치과 치료에 대한 불안, 공포?
잠든 것처럼 편안한 상태에서의 치과 치료
수면치료를 통해 치료에 대한 심리적 부담을 줄여줍니다.
치과치료에대한
공포가 심한 환자
한번에 여러 개의 치아를
재치료해야하는 경우
당뇨, 고혈압이나 전신
질환이 있는 환자
오랜치료 시간을 감당하기
어려운 환자
수술과 복합적인 술식이
필요한 경우
구역질 때문에 치과치료를
힘들어 하는 환자
당신을 위한 새로운 치과 경험

20년을 한 곳에서.
무사고. 의료사고ZERO
청담뷰치과는 20년을 한 곳에서 묵묵히 진료하고
있습니다. 개원 이후 단 한 건의 의료사고 없이 환자의
안전을 최우선으로 하는 진료철학으로 단 하나의
오차도 허용하지 않는 섬세함으로 무사고 경력을
자신합니다. 지금까지 쌓아온 경험과 전문성을
바탕으로 신뢰할 수 있는 의료서비스를 제공하도록
더욱 노력하겠습니다.