VIEW 디지털 기공 연구소
청담뷰치과는 전세계적으로 인정받은 세라믹 재료와
기공장비를 갖춘 디지털 기공실과 세라미스트가 상주해 수준
높은 세라믹 보철물을 제작 합니다.
무삭제에 도전하는 진심의 치아성형

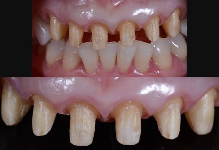
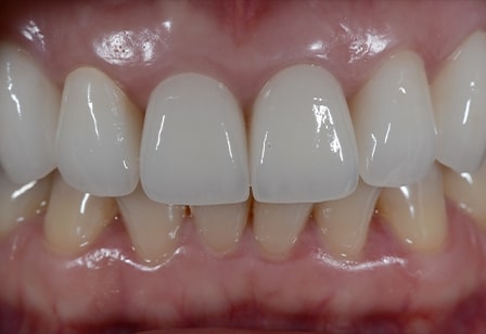
앞니 재성형은 이전에 보철물로 치료 받은 앞니가 보철물에 의한 잇몸 변색, 라미네이트의 깨짐, 떨어짐, 충치나 관리 소홀로 인한 치아 손상 등과 같은 다양한 이유로 불가피하게 재치료가 필요한 경우 라미네이트, 올세라믹으로 재보철을 진행하여 원래의 정상적인 잇몸 색상과 본연의 자연스러운 치아를 회복하는 심미치료 입니다.
이상적인 앞니의
형태와 색조,
투명감을 디자인
치아 미백과
급속교정의효과
경우에 따라
잇몸성형이나
앞니교정 동반.
라미네이트는 치아 ‘겉면’을, 올세라믹은 치아 ‘전체’를 감싸는 방식입니다. 청담뷰는 개인의 구강 상태부터 안모, 잇몸, 입술,
피부톤, 치아의 심미적인 부분부터 저작기능까지 종합적으로 고려하여 개인별 적합한 치료를 권해드립니다.

자연치아를 최대한 살리는 심미치료
치아를 삭제하지 않거나 최소삭제를 통해 치아의 형태와 컬러를 동시에 개선하고 싶은 경우에 적합합니다.

치아의 크기, 형태, 색상을 원하는 대로
치아의 손상이 심하거나 치열이 고르지 못한 경우 적합하며 교정치료의 효과도 얻을 수 있습니다


1. 앞니 사이가 살짝 벌어진 경우
2. 변색된 치아가 미백으로 개선이 힘든 경우
3. 앞니 모양과 길이를
맞추고 싶은 경우
1. 삐뚤어진 치아를 단기간에 개선하고 싶은 경우
2. 치아의 마모나 깨진 정도가 심한 경우
3.치아 삭제량이 많거나 충치가 심해
신경치료가 꼭 필요한 경우
1.외부 충격으로 인해 파절 또는 탈락될 수 있음
2. 수명 주기에 따라 교체 필요

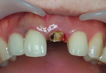
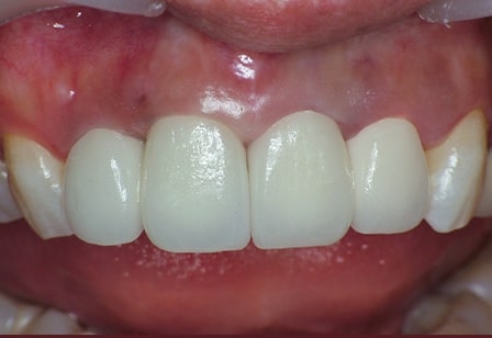
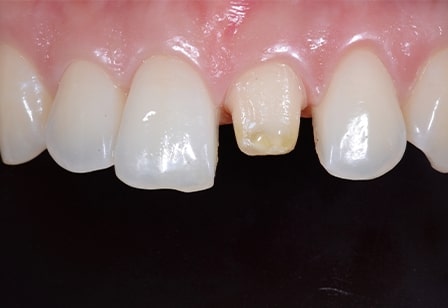
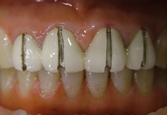
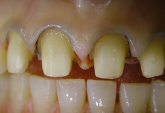
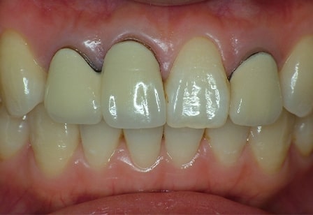
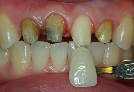
불량 보철물로 인한 만성 치은염과 구취가 심한 상태

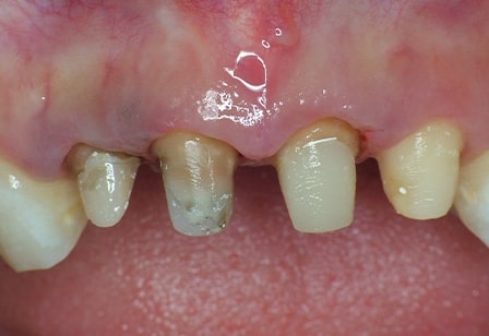
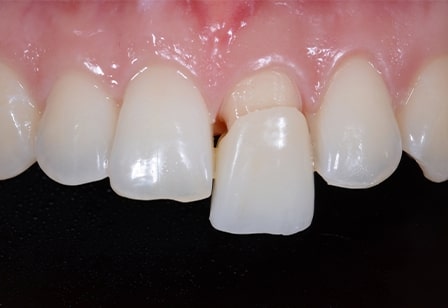
기존 보철물을 제거하고 잇몸 치료 후 인상 채득을 합니다

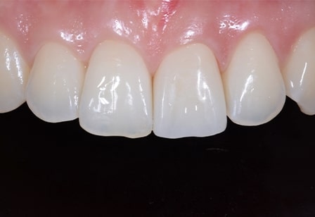
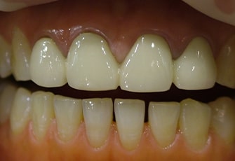
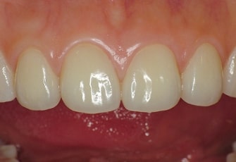
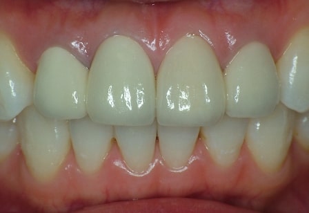
지르코니아 크라운으로 재시술 치아성형 완료
















청담뷰치과는 자체기공 연구소 운영으로 정밀한 보철물을 제작합니다.

청담뷰치과는 전세계적으로 인정받은 세라믹 재료와
기공장비를 갖춘 디지털 기공실과 세라미스트가 상주해 수준
높은 세라믹 보철물을 제작 합니다.
치과 치료에 대한 불안, 공포?
잠든 것처럼 편안한 상태에서의 치과 치료
수면치료를 통해 치료에 대한 심리적 부담을 줄여줍니다.
치과치료에대한
공포가 심한 환자
한번에 여러 개의 치아를
재치료해야하는 경우
당뇨, 고혈압이나 전신
질환이 있는 환자
오랜치료 시간을 감당하기
어려운 환자
수술과 복합적인 술식이
필요한 경우
구역질 때문에 치과치료를
힘들어 하는 환자
당신을 위한 새로운 치과 경험

20년을 한 곳에서.
무사고. 의료사고ZERO
청담뷰치과는 20년을 한 곳에서 묵묵히 진료하고
있습니다. 개원 이후 단 한 건의 의료사고 없이 환자의
안전을 최우선으로 하는 진료철학으로 단 하나의
오차도 허용하지 않는 섬세함으로 무사고 경력을
자신합니다. 지금까지 쌓아온 경험과 전문성을
바탕으로 신뢰할 수 있는 의료서비스를 제공하도록
더욱 노력하겠습니다.